Cancer-causing virus HTLV-1 changes DNA loops, affecting thousands of genes

by Ryan O'Hare

The virus attacks T-cells (illustrated), affecting large numbers of genes, which can lead to leukaemia

The virus attacks T-cells (illustrated), affecting large numbers of genes, which can lead to leukaemia

A human virus that causes a rare form of leukaemia increases the risk of disease by changing the way DNA loops inside our cells.

The research, published in the journal eLife, shows that the human leukaemia virus (HTLV-1) acts at a large number of sites across the human genome, disrupting the regulation of tens of thousands of genes.

According to the team, from Imperial College London and The European Bioinformatics Institute (EMBL-EBI), the findings show that the HTLV-1 changes the folding pattern of human DNA in infected cells. They explain that the resulting disruption of gene function increases the risk of leukaemia.

HTLV-1 is thought to infect more than 10 million people around the world. The virus can be transmitted through unprotected sex, blood transfusions, and from mother to baby via breast milk.

Through binding to these specific sites in the genome, retroviruses like HTLV-1 can alter chromatin loops and disrupt how a number of important genes are regulated Professor Charles Bangham

People can carry the virus for decades without symptoms, and 90 per cent of people may be unaware they are carrying it at all.

However, an estimated 5-10 per cent of those infected may go on to develop an aggressive form of leukaemia or a progressive paralytic disease.

In the latest study, researchers looked at how HTLV-1 interacts with human DNA when it infects a host, focusing on its target: specialised white blood cells called T-cells.

Each human cell contains around two metres of DNA, neatly packaged into the nucleus. In order to fit, these twisting strands are tightly coiled and then wrapped around proteins, creating a densely packed genetic spaghetti structure called chromatin. 

The chromatin is not randomly organised, but is folded into thousands of loops, which stick out from the main ‘strand’.

These loops expose certain regions of DNA to the cell’s machinery that reads and copies DNA, enabling specific chunks of the genome to be more easily read and transcribed.

Listen to our audio news piece on the research below (or listen to the whole Imperial College Podcast episode)

Loops in the genome

Recent research has shown that disrupting these existing loops, or creating new loops, alters the control of gene expression and may be linked to a host of diseases.

The research team isolated T-cells from HTLV-1-infected patients and analysed which regions of the DNA were altered.

The HTLV-1 virus binds to protein called CTCFs, which form chromatin loops in the human genome
The team found that HTLV-1 binds to proteins called CTCFs, which form chromatin loops throughout the human genome

They found that the virus binds to a protein called CTCF, which is the key protein that forms normal loops in the human genome.

As a result, the virus changes the structure of the loop and the activity of genes within it.

Professor Charles Bangham, Chair of immunology in the Department of Medicine at Imperial College London and lead author of the study, said: “Through binding to these specific sites in the genome, retroviruses like HTLV-1 can alter chromatin loops and disrupt how a number of important genes are regulated. This can lead to the abnormalities and disease, such as the leukaemia associated with HTLV-1.”

The researchers explain that due to the large number of CTCF sites scattered throughout the human genome, viruses such as HTLV-1 have the potential to disrupt tens of thousands of genes in the human genome.

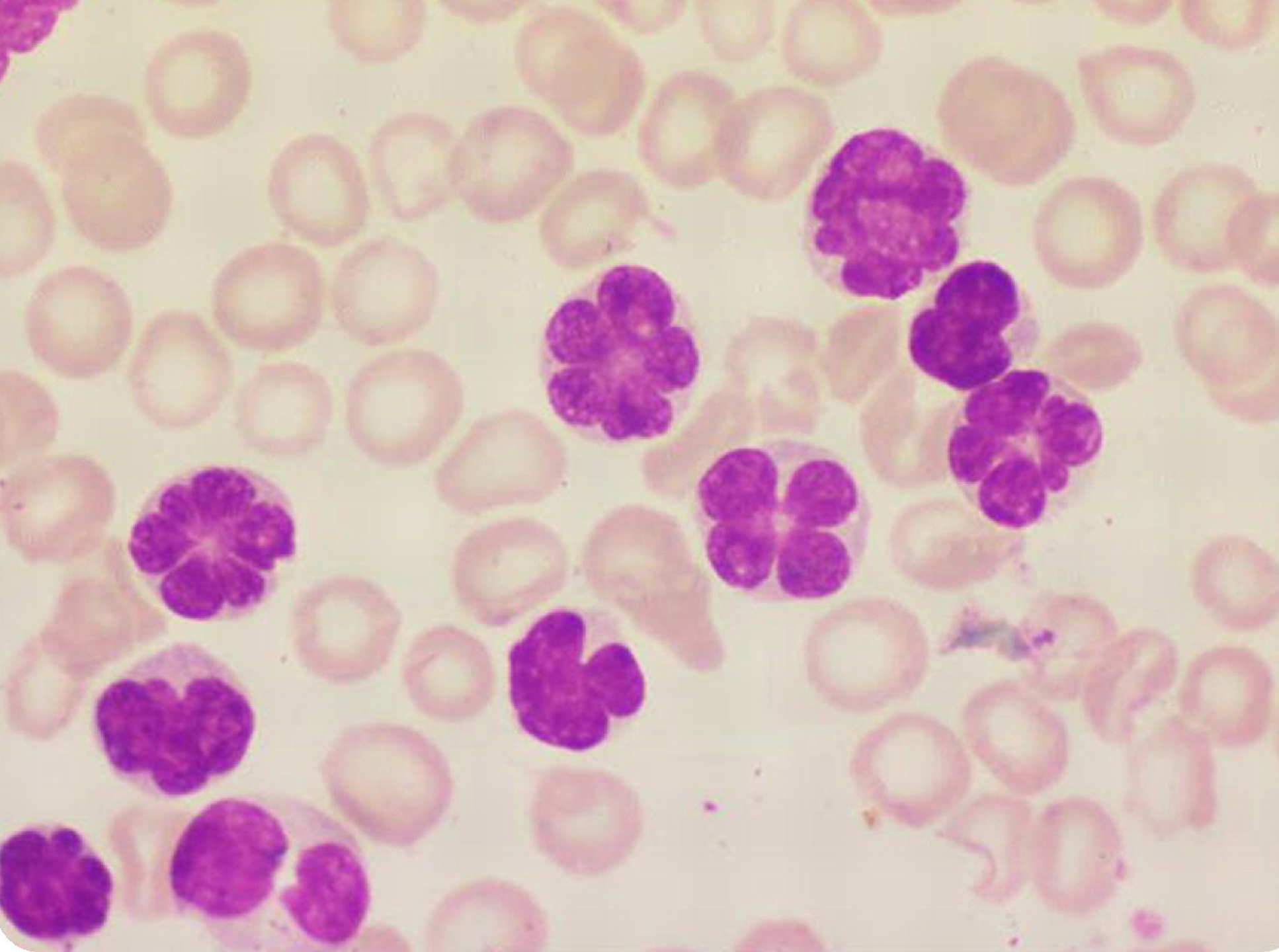
HTLV-1 leukaemic cells
HTLV-1 leukaemic cells: Once the infected T-cells are infected and progress to leukaemia they are often called ‘flower cells’ due to their shape (Image: Blood 2010; vol. 115, p.1668)

They add that the findings provide new insight into how viruses like HTLV-1 can alter the structure of the human genome, which can result in diseases such as cancer.

Ewan Birney, Director of the European Bioinformatics Institute (EMBL-EBI) and co-author, added: “This study illustrates that by combining wet lab and dry lab expertise, we can explore previously inaccessible biological processes.

“By integrating complex genomic data – in this case haplotype-resolved data – into our analysis, we have gained new insights into how the human T-cell leukaemia virus works. In turn, this could help us understand why certain patients experience such devastating symptoms, while others are asymptomatic.” 

-

The human leukemia virus HTLV-1 alters the structure and transcription of host chromatin in cis’ by Anat Melamed, Hiroko Yaguchi et al, is published in the journal eLife.

Main image: Wikicommons / NIAID

Article text (excluding photos or graphics) © Imperial College London.

Photos and graphics subject to third party copyright used with permission or © Imperial College London.

Reporter

Ryan O'Hare

Communications Division