Three Imperial academics win ERC Advanced Grants worth €6.5m

by Stephen Johns

Toby Gee teaching

Three Imperial academics have won a combined €6.5m of Europe's most prestigious research funding.

The ERC Advanced Grants are part of the EU's Research and Innovation programme, Horizon 2020 and provide the resources to ‘continue ground-breaking projects’.

This year 185 scientists across Europe won €450 million for Europe’s long-term frontier research.

At Imperial, the ERC announced the following awards:

Vice-Provost Professor Nick Jennings said: “Congratulations to our three academics who have been successful in this year's ERC Advanced Grant awards. These grants are exceptionally hard to win and reward only the very top scientists with the resources needed to continue their ground-breaking research.

"This latest success recognises Imperial’s position as a European leader in fundamental science that produces impactful innovations to benefit society. 

"Many of Imperial's recent research breakthroughs have come through European funding and we urge colleagues to continue applying for new European grants, as we campaign for continued access to European research programmes after Brexit.”

Professor Daniel Rueckert, Computing – Faster and higher quality medical imaging with AI

Professor Daniel Rueckert will use AI to improve speed and quality of medical imaging
Professor Daniel Rueckert will use AI to improve speed and quality of medical imaging.


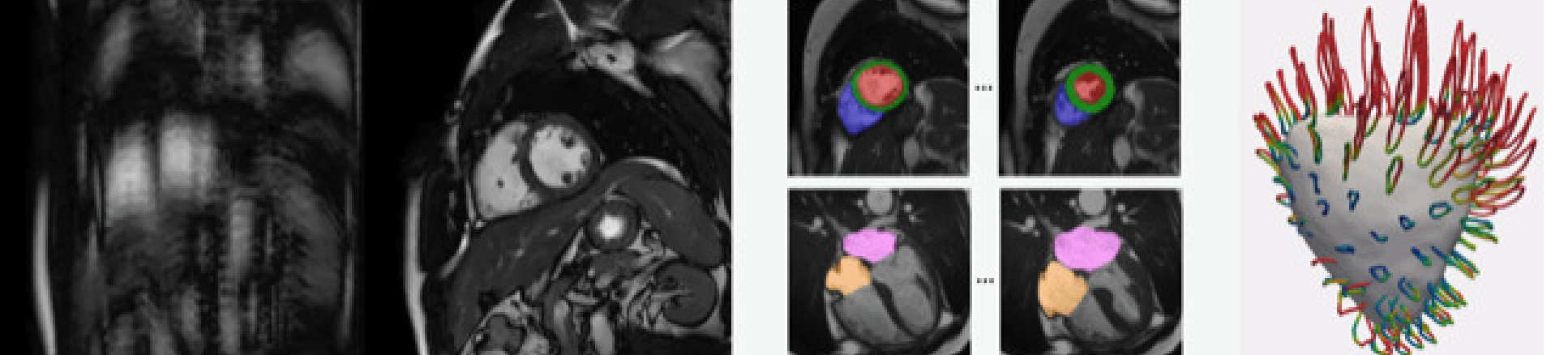
Professor Daniel Rueckert is aiming to use artificial intelligence (AI) to achieve better quality medical images in shorter times. The project will also aim to automate the interpretation of the images in an objective fashion.

Medical imaging plays a crucial part in diagnosis, treatment planning, treatment delivery and follow-up

But much of the interpretation of medical images still relies almost exclusively on human experts.

According to Professor Rueckert, there is a strong need for increased automation and quantification in order to reduce costs, increase efficiency and patient-friendliness, and provide higher diagnostic and prognostic accuracy for clinical decision making.

Professor Rueckert, Head of the Department of Computing, will integrate AI, in the form of machine learning, into all stages of the medical imaging pipeline, ranging from image acquisition and reconstruction to analysis and interpretation.

The project's primary focus will be on cardiovascular imaging, for patients with heart disease, and fetal/neonatal imaging to identify neurodevelopmental abnormalities.

medical image
Professor Rueckert will integrate AI into all stages of the medical imaging pipeline



Professor Rueckert said: “Medical imaging has revolutionised medicine and healthcare like no other recent technology, and is now an integral part of diagnosis, treatment planning, treatment delivery and follow-up.

"By integrating AI into medical imaging, we will be able to acquire better quality medical images with richer information in shorter times.

“This has the potential to reduce costs, increase efficiency and patient-friendliness as well as to provide higher diagnostic and prognostic accuracy for clinical decision making.”

Professor Toby Gee, Mathematics – Understanding Galois deformation rings

Prof Gee
Professor Toby Gee developed the 'Emerton–Gee stack' with University of Chicago's Matthew Emerton

Professor Toby Gee’s project is called LEGS (p-adic Langlands and the Emerton-Gee stack) and builds on nearly a decade of work into geometric constructions. 

In mathematics, the Langlands program is a set of influential conjectures about connections between number theory and geometry. It seeks to create a grand unified theory of mathematics and is widely seen as the single biggest project in modern mathematical research.

Professor Gee said: “These connections are mostly conjectural, meaning that mathematicians have predictions about what the connections should be, but don't know how to confirm those predictions yet. We don't yet have the mathematical tools we would need to make these confirmations.”

One of the biggest results in the Langlands program to date is the 1993 proof of Fermat's Last Theorem by University of Oxford's Professor Sir Andrew Wiles.

The proof is extremely difficult and makes essential use of certain geometric objects called ‘Galois deformation rings’.

Recently, Professor Gee and Professor Matthew Emerton from the University of Chicago introduced what is now known as the ‘Emerton–Gee stack’, which is a new kind of geometric construction which should provide one of the missing tools.

Stack image
An early sketch of the Emerton-Gee stack 



Professor Gee said: “The stack helps us use geometry to investigate Galois deformation rings. The project will study the geometry of these stacks and their applications to the Langlands program.

“Over the last few years London has become one of the top cities in the world for work on the Langlands program, and this grant should help us cement our position.”

Professor Gee said that the grant will enable him to expand Imperial’s number theory group and attract top PhD and postdoc students from around the world.

“The grant comes at a perfect time for me. I've spent a lot of the last nine years establishing the basic properties of the Emerton-Gee stacks, and there are now many important questions about them to answer, and applications to explore.”

Patrick Bolton, Business School – The social and environmental impact of business

Patrick Bolton
Professor Patrick Bolton is studying the social and environmental impact of business

Professor Patrick Bolton will investigate how firms take into account the environmental and social impact of their activities.

The project will explore how shareholders can convey their social and environmental preferences to company managers and how shareholders should engage with the companies they invest in to mitigate climate change.

Professor Bolton said: “Today institutional investors – asset managers, insurance companies, pension funds, and sovereign wealth funds – together own more than 70% of the shares of publicly traded companies.

“These institutional investors are the critical actors in corporate governance. The project focuses specifically on their role in addressing the social and environmental impact of business.”

image graph of stock price risk v emissions
The graph shows how stock returns for US companies reflect risk with respect to companies carbon emissions. Companies with higher emissions compensate shareholders with higher stock returns, other things equal.

The project has two major themes:

  • to determine how financial markets provide the price signals to help investors shape their portfolio strategies in the face of climate change risk
  • to identify how institutional investors approach climate change and engage with companies to support the transition towards renewable energy.

Professor Bolton, who collaborates with colleagues at Imperial, New York University and Northwestern University, said: “These two themes, of course, cannot be separated from public policy towards climate change.

“Accordingly, a major aspect of the research is to make explicit how public policy shapes corporate behaviour through the actions of institutional investors.”

Research stars

The President of the European Research Council (ERC), Professor Mauro Ferrari, commented: “I am glad to announce a new round of ERC grants that will back cutting-edge, exploratory research, set to help Europe and the world to be better equipped for what the future may hold.

"That’s the role of blue sky research. These senior research stars will cut new ground in a broad range of fields, including the area of health. I wish them all the best in this endeavour and, at this time of crisis, let me pay tribute to the heroic and invaluable work of the scientific community as a whole.”

He added: “In this grant competition, we noted a drop in number of UK-based grantees, which reflects the recent decline in applications from the UK. Collaboration is one of the biggest gifts we have in science and I am hoping for the best for our future relationship with the UK.”

Article supporters

Article text (excluding photos or graphics) © Imperial College London.

Photos and graphics subject to third party copyright used with permission or © Imperial College London.

Reporter

Stephen Johns

Communications Division