Imperial researcher wins BHF's annual science image competition

by Ellyw Evans

Dr Régis Joulia's winning image

Dr Régis Joulia's winning image

Three images by Imperial researchers were featured in the final shortlist of the British Heart Foundation’s ‘Reflections of Research’ competition.

Dr Régis Joulia from Imperial's National Heart and Lung Institute (NHLI) has won the British Heart Foundation’s (BHF) annual ‘Reflections of Research’ science image competition.

Blending the wonders of science and art, the annual competition challenges BHF-funded scientists to showcase their awe-inspiring research into cardiovascular health and disease through imagery.

Dr Régis Joulia, a BHF Research Fellow at the BHF Centre of Research Excellence, was awarded both Judges’ Winner and Supporter’s Favourite for his image titled 'A flare of stellar vessels’. 

Overall winner: A flare of stellar vessels - Dr Régis Joulia

The image shows a small region of a human lung and its rich supply of blood vessels in red. The tiny green dots reveal immune cells called mast cells in the lungs and the blue dots are pericytes which are crucial cells for blood vessels to maintain their structure.
A flare of stellar vessels - Dr Régis Joulia, Imperial College London






The image shows a small region of a human lung and its rich supply of blood vessels in red. The tiny green dots reveal immune cells called mast cells in the lungs and the blue dots are pericytes which are crucial cells for blood vessels to maintain their structure.

Reflecting on the win, Régis said: “Every year Reflections of Research celebrates the vital research that the BHF supports and I'm so proud that my image won!

“The body can be in a state of long-term inflammation in people with asthma and a condition called pulmonary hypertension, where there’s high blood pressure in the lungs. This inflammation can have detrimental effects on the amount of oxygen in the blood, and my research aims to look at how it disrupts the structure of the lung blood vessels in these chronic conditions."

The winners of this year’s competition were chosen by a panel of experts: Dr Charmaine Griffiths, Chief Executive at the British Heart Foundation; Professor Sir Nilesh Samani, Medical Director at the British Heart Foundation; Simon Hill, President and Chair of Trustees at The Royal Photographic Society.

Simon Hill, said: "The image 'A Flare of Stellar Vessels' was a stand-out. The composition and simplicity of colour combined created an image that was so devoid of scale that it could be seen as a vast area of space wider than anything imaginable, or it could be of something so infinitesimally small that we could not hope to see it without specialist equipment. While its scientific credentials are most worthy, it possesses an artistic quality that would make it seem completely at home on the wall of an art gallery in London or New York. What an amazing photograph."

Joint runner-up: Regenerating heart - Pragati Pandey

Two other entries from NHLI researchers also featured in the final shortlisted images. One of these came from Pragati Pandey, a PhD student at the NHLI, who secured a runner-up position.

Regenerating heart by Pragati Pandey
Regenerating heart – Pragati Pandey, Imperial College London

Pragati’s entry is of a cross-section of a rat’s heart shown in green with a patch of living heart cells shown in purple, that acts as a sticking plaster to repair damage.

Pragati Pandey said: “It’s amazing to be shortlisted, let alone secure a runner-up position, in this year’s Reflections of Research image competition. This heart patch made using stem cells and could be used to replace and repair the cells lost after a heart attack to prevent heart failure from developing.

“Heart failure affects nearly one million people in the UK. It’s a debilitating condition that makes everyday tasks incredibly difficult and has a worse survival rate than some cancers. This patch brings us one step closer to an effective cure.”

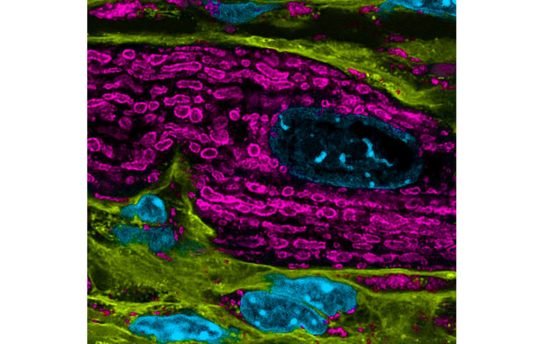
Shortlisted: Mitochondrial soup - Jacky Fung and Amalia Sintou

Mitochondrial soup – Jacky Fung and Amalia Sintou
Mitochondrial soup – Jacky Fung and Amalia Sintou, Imperial College London

‘Mitochondria soup’ entered by Jacky Fung, a postgraduate student, and Amalia Sintou, a PhD student at NHLI also featured in the judges' shortlist. This colourful arrangement of shapes that resembles a bowl of minestrone soup is in fact the inner workings of a heart muscle cell which has been affected by a heart condition called mitochondria-mediated cardiomyopathy.

Mitochondria (shown in pink) are the engines of heart cells responsible for producing energy to power the beating motion of the heart. This image also reveals the nuclei of the heart cells in blue, which holds genetic information, and areas of heart scarring and immune cells in green.

All shortlisted images can be viewed on the BHF's Reflections of Research 2022 webpages.

  • A heart within a heart by Christina Gkantsinikoudi and Dr Neil Dufton, Queen Mary University of London,

    A heart within a heart by Christina Gkantsinikoudi and Dr Neil Dufton, Queen Mary University of London,

  • A heart in lungs by Manpreet Kaur, King’s College London

    A heart in lungs by Manpreet Kaur, King's College London

  • Regenerating heart by Pragati Pandey

    Regenerating heart by Pragati Pandey

  • Mitochondrial soup by Jacky Fung and Amalia Sintou

    Mitochondrial soup by Jacky Fung and Amalia Sintou, Imperial College London

Article supporters

Article text (excluding photos or graphics) © Imperial College London.

Photos and graphics subject to third party copyright used with permission or © Imperial College London.

Reporter

Ellyw Evans

Faculty of Medicine Centre