Effect of minocycline on chronic neuroinflammation following traumatic brain injury
Overview

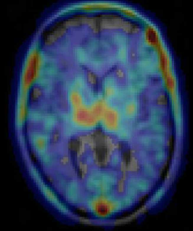
Traumatic brain injury (TBI) is the most common cause of death and disability in young adults. Approximately 25% of TBI patients improve but an equal number deteriorate over time. We know little about why patients vary so much in how they recover. Recently, using a Positron Emission Tomography (PET) scan, abnormal persistent brain inflammation (chronic neuroinflammation) has been detected following TBI. Treating chronic neuroinflammation may improve brain recovery. The antibiotic minocycline has been shown to have anti-inflammatory effects and to protect the brain in animal studies of TBI. In this study, we investigate whether minocycline therapy reduces chronic neuroinflammation following TBI, measured using PET. PET scans allow us to measure inflammation directly. We use Magnetic Resonance Imaging (MRI), performed at the Clinical Imaging Facility (CIF), to measure brain structure and function after TBI, and to look for evidence of inflammation using magnetic resonance spectroscopy (MRS).
Key publications
- Ramlackhansingh, A.F., Brooks, D.J., Greenwood R.J, Bose, S.K., Turkheimer, F.E. Kinnunen, K.M. Gentleman, S., Heckemann, R.A., Gunanayagam, K., Gelosa, G., Sharp, D.J. (2011). Inflammation after trauma: microglial activation after traumatic brain injury. Annals of Neurology. 70 (3): 374-383; doi: 10.1002/ana.22455.
Principal investigator
Researchers involved
- Greg Scott
- Amy Jolly
Funding
- National Institute of Health Research