Researchers shed new light on how malaria parasites evade mosquitos’ defences

by Hayley Dunning

Red blob on the fringes of a cell with a green centre

A malaria parasite (red) entering a mosquito gut cell

The malaria parasite uses a specific molecule on its surface to get around a mosquito’s immune system, allowing it to invade and infect humans.

The molecule could be targeted by new transmission-blocking vaccines, or even thwarted by genetically modified mosquitos.

The study, published today in Proceedings of the National Academy of Sciences, was led by scientists at Imperial College London.

If we find ways to target this or other such molecules, then the parasites should become vulnerable to the mosquito defences Dr Dina Vlachou

Lead scientist Dr Dina Vlachou, from the Department of Life Sciences at Imperial, said: “Malaria parasites have developed sophisticated mechanisms that can help them elude the mosquito immune system and ensure transmission amongst people.

“But if we find ways to target this or other such molecules, then the parasites should become vulnerable to the mosquito defences so that they can no longer be transmitted from one person to another.”

Evading the immune system

The group of parasites that cause malaria have a complex life cycle, having to pass through one of several certain species of mosquito before they can infect humans. The parasite enters a mosquito’s gut when it bites an infected human.

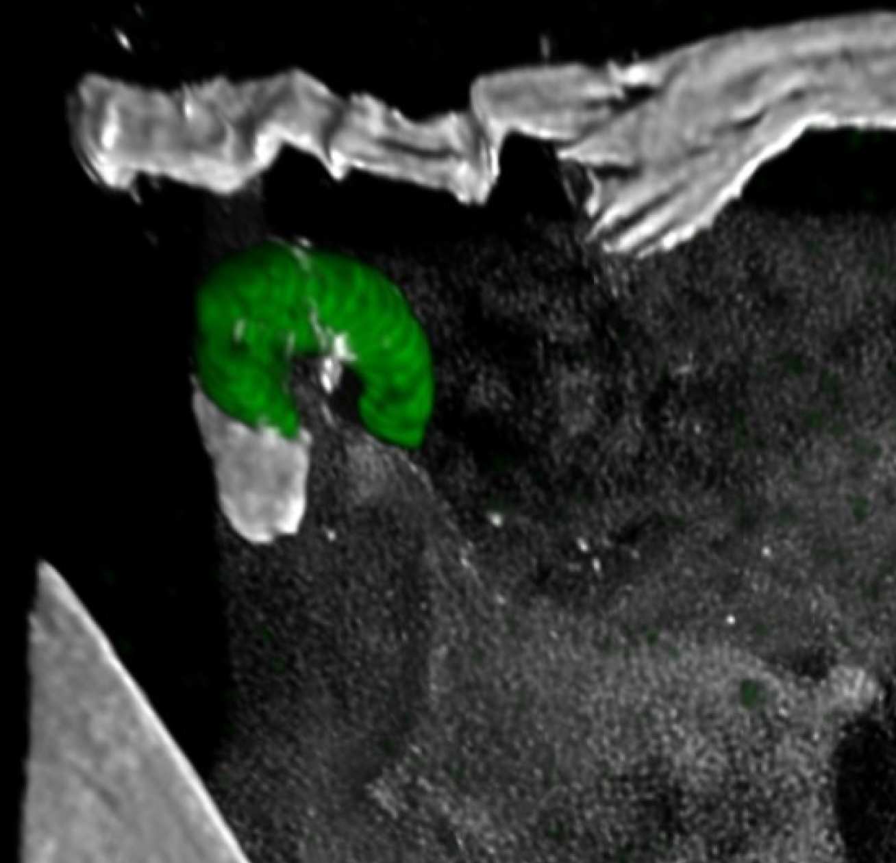
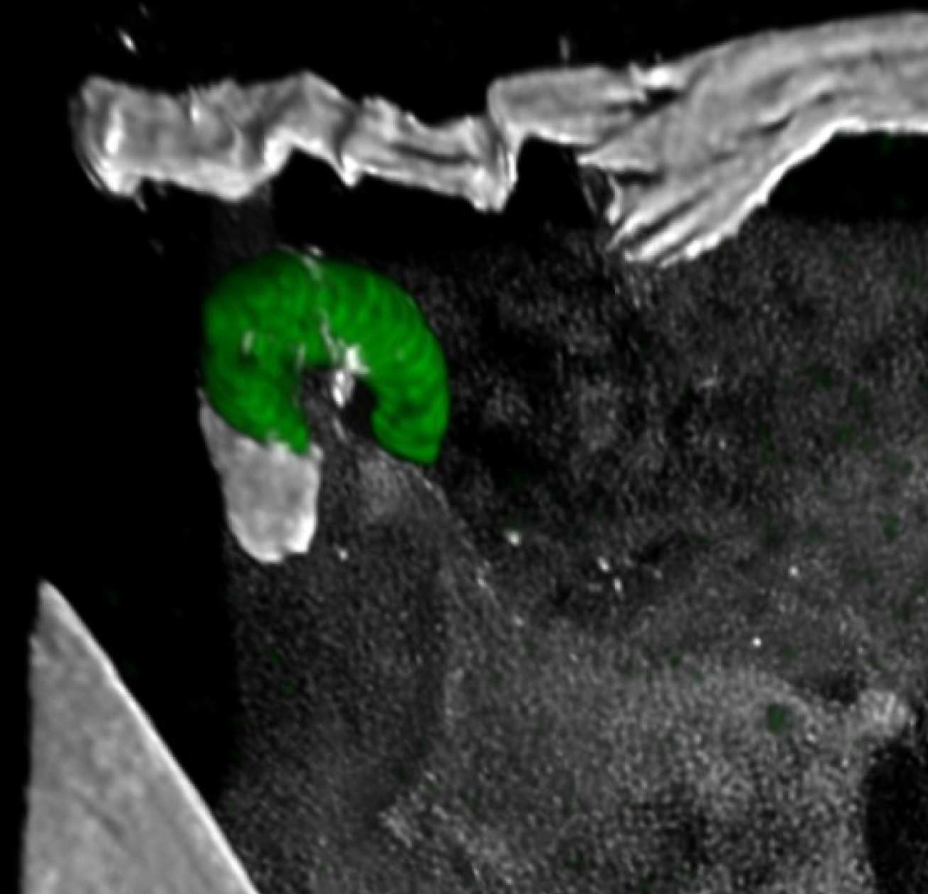
A green crescent shape (the dying parasite) inside a cell
A malaria parasite being attacked by the mosquito immune response as it passes through a gut cell. This parasite has not managed to fool the mosquito immune response and it will now be killed

There, it infects the gut tissue where it matures for several days before it is ready to infect a human when the mosquito bites again. But for the parasite to infect the gut tissue it must first endure the mosquito’s immune response.

Now, researchers at Imperial have discovered a molecule, named PIMMS43, on the surface of the parasite that helps it evade the immune system of the mosquito. The team then produced antibodies that could block the action of PIMMS43 and tested their ability to disrupt parasite transmission.

They added these antibodies to parasite-infected blood and fed it to mosquitos, measuring the number of parasites that were able to survive the mosquito immune response and infect the gut tissue. They found that the antibodies could substantially reduce the possibility that these mosquitos will become infected.

The first step

The first step is to generate these [genetically modified] mosquitoes and then test their ability to thwart infections by parasites Professor George Christophides

The team at Imperial are now working to produce smaller versions of these PIMMS43-inhibiting antibodies, called nanobodies, in genetically modified mosquitos. If released in nature, these mosquitos could rapidly spread their nanobody-expressing genes to wild mosquitos, rendering them resistant to parasite infection.

Co-lead scientist Professor George Christophides, from the Department of Life Sciences at Imperial, said: “There is a long way to go. The first step is to generate these mosquitos and then test their ability to thwart infections by parasites currently circulating in humans.

“We will then be looking into finding the best way to replace wild mosquito populations with the new malaria-resistant mosquitos. This effort is now pursued as part of our Transmission Zero programme that we carry out in partnership with scientists in Africa.”

The work was funded by the Wellcome Trust and the Bill and Melinda Gates Foundation.

-

PIMMS43 is required for malaria parasite immune evasion and sporogonic development in the mosquito vector’ by Chiamaka V. Ukegbu et al is published in Proceedings of the National Academy of Sciences.

Article supporters

Article text (excluding photos or graphics) © Imperial College London.

Photos and graphics subject to third party copyright used with permission or © Imperial College London.

Reporter

Hayley Dunning

Communications Division