Skip to main content View accessibility support page
  • Study
  • Research
  • Faculties
  • News
  • Events
  • About
  • Get involved
  • Giving
  • Shop Imperial
  • Search

Website navigation

Skip to section navigation

Global site navigation

  • Study
    • Course search
    • Apply
    • Fees and funding
    • Student life
    • Visit
    • Help centre
    • Request info
    • International students
    • Executive education
    • Summer schools
  • Research
  • Faculties
    • Faculty of Engineering
    • Faculty of Medicine
    • Faculty of Natural Sciences
    • Imperial Business School
    • Administrative and support services
  • News
    • News
    • Imperial Stories
    • Imperial Magazine
  • Events
    • What's on
    • Great Exhibition Road Festival
    • Imperial Lates
    • Graduation
  • About
    • President
    • Provost and Deputy President
    • Council
    • Imperial Strategy
    • Imperial Global
    • Sustainable Imperial
    • School of Convergence Science
    • Governance
    • Campuses
    • Our academics
    • Jobs at Imperial
  • Get involved
    • Giving
    • Schools outreach
    • Imperial Global Summer School
    • Societal engagement
    • Volunteering and outreach
    • Women at Imperial
  • Giving
  • Shop Imperial

User links navigation

  • For staff
  • Current students
  • Imperial for business
  • For schools
  • Alumni
Research groups

Centre for Neurotechnology navigation

  • About the Centre
    • Research themes
    • Facilities
      • Three-photon microscope facility
      • TissueCyte1000 serial two photon tomography platform
      • Noninvasive Human Brain Signal Recording and Stimulation Facilities
        • 8-channel wireless EMG system
        • High density, high temporal resolution EEG and EMG
        • MRI-compatible EEG system
        • Multi-channel functional near-IR spectroscopy
    • Annual Reports
    • Centre links
  • People
  • Student training
    • EPSRC Centre for Doctoral Training in Neurotechnology
      • Research themes
      • Projects
        • 3D Ultrasound Computed Tomography of the Brain
        • 3D-resolved optogenetic excitation using time-averaged speckle patterns
        • A clinically-viable brain-computer interface for inducing neuroplasticity for stroke rehabilitation
        • Automated Neonatal EEG Early Warning System based on novel signal analysis tools in the field and/or novel features
        • AutoTRIAGE: a clinical, computational and biomechanical investigation of the feasibility of using vehicular event data recorders for assessing head trauma severity in collisions
        • Axo-glial pathology in Multiple Sclerosis and its potential effects on neurotransmission
        • Biologically inspired computation for real-time motor control
        • Characterising receptive fields of astrocytes in auditory cortex
        • Closed-loop, personalized brain stimulation intervention for impairment of cognitive control
        • Computational technology towards future therapies for itchness via neuro-skin interactions
        • Conductive polymer platforms for the integrated in vitro investigation of neural networks
        • Designing novel imaging probes for targeting inflammatory lesions in brain disorders
        • Developing a novel type of neurostimulation to aid speech processing and rehabilitation from aphasia
        • Developing technology to enable macroscopic imaging of neuronal connectivity to quantify changes during health and disease
        • Development of a diagnostic battery for probing individual differences in network function
        • Development of a noninvasive and localised blood-brain barrier opening system for the treatment of Alzheimer’s Disease
        • Development of non-invasive deep brain stimulation technology
        • EEG assessment of spoken language processing in aphasia
        • Engineering fast, flexible, precise and parallel light sculpting for neural circuit elucidation
        • Engineering tactile signals to aid hearing in noisy background
        • Experimental and computational study of auditory receptive field properties and connectivity
        • High resolution imaging of multimodal nanoparticles for treatment of brain cancers
        • High-resolution mapping of age-related functional changes in cortical connectivity
        • High-throughput Visualization and Computational Consequences of Increased Synaptic Plasticity and Axon Regeneration in the Living Aged Brain
        • Improved methods for functional neuronal imaging with genetically encoded voltage indicators
        • Information theoretic analysis tools for studying the cellular assembly of memory
        • Integrated sensor suite to investigate neurological dysfunction in balance
        • Investigating Sports Related Concussion with a Wearable In-Ear System for Continuous Monitoring of Brain and Body Functions
        • Large scale population functional connectomic parcellation and individual variation
        • Large-Area Flexible Plastic Electronic Sensor for 2D Neural Recording
        • Learning to hear with plasticity across multiple timescales
        • Lesion-symptom mapping using motion-tracking: How neural trauma impacts motor function
        • Machine learning and human adaptability: towards a hierarchical model of executive cognition and brain function
        • Mathematical and computational analyses of plastic spiking recurrent networks
        • Measuring brain and body biological age to predict health outcomes and disease risk during ageing
        • Microdevices to investigate sleep and temperature regulation in mice
        • Monitoring muscle fatigue using novel wireless sensors
        • Neural implants for brain-robot interface
        • Neural network mechanisms of inhibitory and attentional control
        • Neurochemical CMOS array – bedside assay of ionic and inflammatory marker from the human brain
        • Neuronal Interfacing System for Human Pluripotent Stem Cell Interrogations using Materials-based Nanotechnologies
        • One-probe - a new device for non-penetrative monitoring of the injured brain
        • Peripheral nerve decoding algorithms for bioelectronic medicines
        • ReBooT: Restoring Brain Operation with Technology; Microelectronics to enable an open source instrument for exploring closed loop neural systems
        • Robot-assisted fMRI investigation of learning in newborn infants
        • Role of copper ions in the toxicity of α-synuclein in Parkinson’s disease
        • Sensory Motor Interface for Lower Extremity Robots (SMILER)
        • Spinal motor neurons control of redundant robotic system
        • Surface Electromyography for Brain-Machine Interface Applications
        • The bionic spinal cord bridge: Combined therapies for neural regeneration
        • Towards whole brain functional imaging in freely moving subjects
        • Ultrasound technology to deliver novel theranostic agents to malignant brain tumours
        • Virtual physiotherapy for assessment and training of arm function
        • Wearable Force-Feedback Interface supporting in vivo Brain-Robot Interface
        • Wearable wireless sensor arrays to detect the progression of amyotrophic lateral sclerosis (ALS)
        • Whole-brain dynamics and higher cognitive processing in disorders of consciousness
      • Selected outputs
        • Publications
        • Public engagement and outreach
    • MRes Neurotechnology
      • Frequently Asked Questions (FAQs)
      • Projects
  • Spinouts and industry engagement
    • Industry Partners
    • Spin-out companies
    • Student-led startups
  • News and events
    • News
    • Events
      • Neurotechnology Seminars

In this section

  • Centre for Neurotechnology
Centre for Neurotechnology
  • Imperial Home
  • Research groups
  • Centre for Neurotechnology
  • News and events
  • News

News

News and events
  • News
  • Events
  • news

06 August 2025

Wearable device for restoring movement aims to deliver hope to stroke patients

  • news

13 February 2025

Bioengineering makes robotic limbs feel natural

  • news

04 February 2025

Inspiration turns into application for Imperial’s neural implant research

  • news

20 January 2025

Imperial receives £15m ARIA funding for breakthrough brain research

  • news

19 October 2023

Surgery-free brain stimulation could provide new treatment for dementia

  • news

28 March 2023

Sports related brain injuries reveal the mechanics of loss of consciousness

  • news

07 December 2022

MintNeuro: redefining neurological interventions with bioelectronic implants

  • news

23 August 2022

Arm-strengthening device to be brought to the clinic with £800k grant

  • news

04 August 2022

£1.5M award for new network to address brain disorders

  • news

27 July 2022

Imperial Neurotechnology 2022 showcases cutting edge neurotech research

  • news

03 May 2022

Lasting brain impacts of severe COVID-19 equivalent to 20 years of ageing

  • news

12 April 2022

Imperial medical technology spinout raises $11 million

  • news

11 April 2022

Mechanosensory system found on insect wings could inform future wing designs

  • news

18 March 2022

Engineering extra limbs and austerity food purchases: News from the College

  • news

17 February 2022

£2.1 million grant for research into brain activity ‘avalanches’

  • news

16 February 2022

Road accident data could help predict crash victims most at risk of brain injury

  • news

22 November 2021

Pianists learn to play with robotic third thumb in just one hour

  • news

02 September 2021

Vaccine passports linked to COVID-19 vaccine hesitancy in UK and Israel

  • news

19 February 2021

How mouse brains reorganise old memories when new ones are laid down

  • news

10 February 2021

Dragonflies perform upside down backflips to right themselves

  • news

20 January 2021

Precise mapping shows how brain injuries inflict long-term damage

  • news

26 November 2020

Real-world neuroscience experiments show diversity in learning new motor skills

  • news

21 October 2020

Imperial and TUM launch joint PhD programme in AI, robotics and healthcare

  • news

16 September 2020

AI-based brain monitoring and robotic muscle projects win £11.5m EPSRC boost

  • news

10 September 2020

Staff awarded for their efforts with the Bioengineering Thank You awards

  • news

03 September 2020

Four Imperial engineers win ERC Starting Grants worth €6 million

  • news

18 May 2020

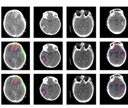
AI successfully used to identify different types of brain injuries

  • news

21 April 2020

Low cost emergency ventilator to tackle coronavirus designed by Imperial team

  • news

08 April 2020

Four ways Imperial is leading the fight against Parkinson’s

  • news

09 March 2020

Innovation fund for Imperial staff and student startups launches

  • news

06 March 2020

Seismic imaging technology could deliver detailed images of the human brain

  • news

02 March 2020

Alzheimer's brain 'atlas' may help identify new treatments

  • news

14 January 2020

Imperial researchers partner with BBC to test the nation’s intelligence

  • news

09 January 2020

Researchers developing AI to solve healthcare challenges

  • news

23 October 2019

Trial will look at new Parkinson’s treatment for frequent falls

  • news

10 September 2019

UK urged to lead brain-machine interface technology by Imperial-led report

  • news

26 July 2019

Electrodes in remaining arms give amputees better control of prosthetics

  • news

16 July 2019

PhD students put creativity on show at annual summer showcase

  • news

05 July 2019

Major donation to accelerate neurodegenerative disease research at Imperial

  • news

18 June 2019

TU Munich expands Imperial partnership in AI, healthcare, robotics and beyond

  • news

17 June 2019

Imperial researcher helps design tricky intelligence tasks for new TV gameshow

  • news

21 May 2019

Head injury effects halted by xenon gas, finds first ever lifelong study in mice

  • news

16 April 2019

£20m centre to enable people with dementia to live in own homes for longer

  • news

10 April 2019

Active lifestyles may help nerves to heal after spinal injuries

  • news

27 March 2019

Imperial College Neurotechnology visits Whitehall Park School science week

  • news

26 March 2019

New ‘pulsing’ ultrasound technique improves drug delivery to brains of mice

  • news

20 March 2019

CDT-Neuro student leads team to win £10K Robotics & Innovation prize

  • news

18 March 2019

Six new student startups go head to head in Venture Catalyst Challenge final

  • news

12 March 2019

Parkinson’s treatment delivers a power-up to brain cell ‘batteries'

  • news

12 February 2019

The more the merrier for physical group tasks, says new study

  • news

08 January 2019

Imperial experts create robot helper to understand and respond to human movement

  • news

23 November 2018

Breastfeeding: Babies’ response to facial touch measured with 3D printed device

  • news

20 November 2018

Success on an industrial scale: Imperial projects driving innovation

  • news

23 October 2018

Imperial academics win €10m ERC grant to give bionic limbs sense of touch

  • news

11 September 2018

AI experts from Imperial and France reveal exciting applications for healthcare

  • news

07 August 2018

Hand-stabilising glove wins €1.8M European funding

  • news

03 August 2018

Researcher wins prize for method that reaches into the brain, without surgery

  • news

02 July 2018

Self-learning bionic hand could spark ‘new generation’ of prosthetic limbs

  • news

24 June 2018

CDT Neurotechnology researchers invited to 10 Downing St

  • news

16 May 2018

Discussing hearing loss in veterans

View more news

Useful Links

Popular links

  • Blackboard
  • Contact the Service Desk
  • Jobs
  • Library services
  • Outlook email online

Faculties

  • Engineering
  • Medicine
  • Natural Sciences
  • Imperial Business School

Directories

  • Admin and support services
  • Networks and Centres
  • Research groups
  • Search all staff

Partners

  • Imperial College Academic Health Science Centre
  • Imperial College Health Partners
  • Imperial College Healthcare NHS Trust
  • Imperial Consultants

College Information

Imperial College London

Address

Imperial College London
South Kensington Campus
London SW7 2AZ, UK
tel: +44 (0)20 7589 5111

Facebook X, formerly known as Twitter YouTube LinkedIn Instagram TikTok TikTok

Site Information

  • Sitemap
  • Accessibility
  • Modern slavery statement
  • Privacy notice
  • Use of cookies
  • Report incorrect content
  • Log in

© 2026 Imperial College London